It’s Friday so I’m also linking up with Fairytales and Fitness for the Friday Five linkup! Join in! Don’t forget to link back to your hostess and visit some other bloggers.

My Topic today is: My Broken Ankle vs the Pandemic
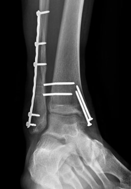
On Dec 30, 2011, I fell on the ice and broke my fibula and tibia and had to have surgery.
Thinking back to how I dealt with this horrible situation has helped me deal with the current pandemic we’re in.
Here are 5 6 reasons why both are very similar:
1.Happened Unexpectedly.
I was doing a 10 mile training run and then all of a sudden, I was down on the ground.
I was at work on March 16 and then on March 17, I was told to stay home and self-isolate.
2.Scary Health-wise.
I had never broken my ankle. I had never had surgery before or anesthesia. Yikes!
COVID-19 – Would I get it? Would my friends or family get it? People are dying from it!!! Holy cow!

3. Unknown Duration.
How long would it take for my bones to heal? Weeks? How long until I could walk or run again? Months?
How long until I would go back to work? How long until I could see my family and friends? How long will we be social-distancing??
4. Feeling Depressed and Isolated.
I missed a New Year’s Party. I couldn’t go anywhere. Not to the mall, not out with my friends. I was stuck at home. I was bored and lonely.
Nothing is open. I can’t even get my hair cut. I can’t go out to dinner or to the movies. I am tired of running by myself.
5. Changes Happen in Stages
First I would be mobile using crutches. And then walking with a boot. And eventually walking unaided… and then running!!
First leaving the house to go to essential places, then more places but wearing a mask and staying 6 feet apart. Eventually more places open up but restrictions are still in place.
6. What will “Normal” be?
Will I run as fast as before? Will I be able to run long distances? Will there be things I can no longer do?
Will we be able to hug our family and friends? Will we be able to attend concerts and movies? Will there be big races?
Happy Running! Have you ever had a serious injury or situation which may have prepared you for this Pandemic? Please share.











Um nope, nothing really prepared me for this pandemic. I try to be as mentally flexible as possible and maintain a positive outlook, but that sure isn’t always easy. I feel like some things about life as we once knew it are going go be different going forward. Some good, some bad.
LikeLiked by 1 person
This is certainly different than anything else in our lives. We have to take the good with the bad and try to be positive about the future.
LikeLike
I think we all are wondering “What will normal be?” Great comparison between breaking your ankle and the pandemic. I am not loving these restrictions either but I understand why they are necessary. I am convinced now to not take simple pleasures and freedoms for granted ever again.
LikeLiked by 1 person
Yes Yes. I do agree.
LikeLike
I could easily compare my knee recovery with this, in some ways. My ordeal was totally unexpected, and I was “stuck” dealing with the recovery that I had no way to prepare for. But, I kept a positive attitude, and tried to focus as much as possible on the positives. I have learned that what you focus on will become your reality, so I refuse to dwell on the gloom and doom side of anything. I can acknowledge the bad, but it’s my choice to NOT dwell on it 😉
LikeLiked by 1 person
I love your attitude.
LikeLike
I would not say I was prepared at all for this one! You do have me thinking back to a ski accident that I had which required surgery. I had 2 young kids at the time and I was not prepared.
LikeLiked by 1 person
I don’t any of us was prepared for anything like this. But we’ll get past it.
LikeLike
Thankfully, never a serious injury, knock on wood, but I had several surgeries as a kid. I was a really sickly kid. Although a couple were on my eyes.I was 12. I remember it pretty vividly!
I’m not sure anything could really prepare anyone for what we’re going through now. But that’s life — the only thing really certain is death and change (even taxes aren’t necessarily certain!).
LikeLike
Nope no one could be prepared. The important thing is how we deal with adversity. I think my attitude about this is better than when I had ankle surgery. Knock on knock. I’ve been healthy my whole life.
LikeLiked by 1 person
I had no idea you had broken your ankle.
I don’t think anyone could have thought this pandemic was going to continue like this! I hope things get back to normal soon but I feel like this is going to be all of 2020!
LikeLiked by 1 person
I think unfortunately you are right.
LikeLike
I was not prepared at all for something like this, but growing up on a farm out in the middle of nowhere I was more prepared for the isolation than others. As a kid, I wouldn’t see any of my friends from the last day of school in the summer until the first day of school in the fall. I’m still looking forward to whenever we can get back to gathering with friends, though.
LikeLiked by 1 person
That’s interesting about your childhood.
And yes, I can’t wait to hug someone or high five a running friend.
LikeLiked by 1 person
I broke my elbow about 27 years ago and had to have surgery to put in a lag screw. My first surgery and anesthesia.
I’ll never forget that first shot of percoset, or what ever it was, in the ED. I don’t think I’ve ever felt so relaxed (high) so quickly. I see why people get addicted.
I’ve never had a fatal or chronic disease but I imagine it’s similar to COVID.
All of a sudden our world has changed completely. This could kill us. We just want to go back to normal and for all of this to be over, but we have no control over when this will be over.
LikeLiked by 1 person
The unknown is pretty scary.
LikeLike