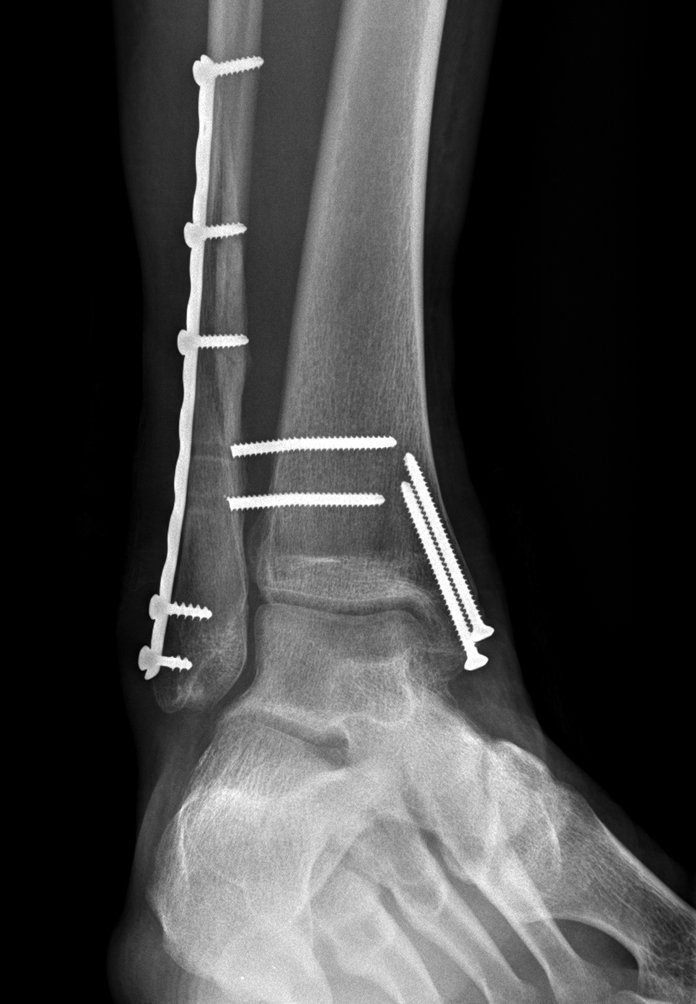
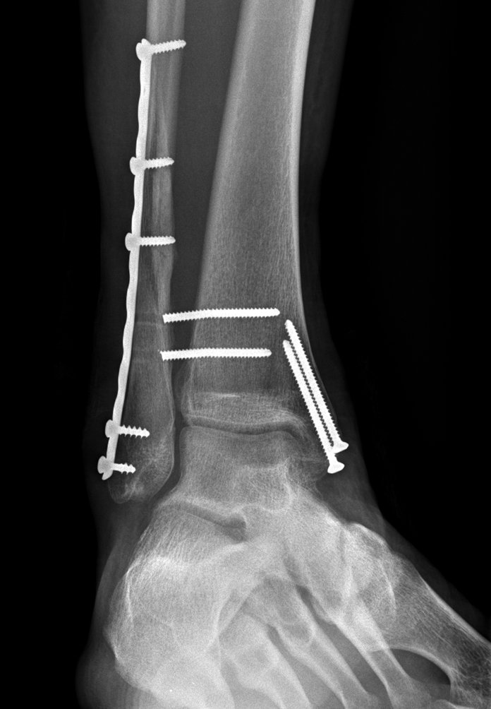
broken ankle Published February 15, 2012 at 696 × 1004 in TTT: The Magic 7 not miy x-rays but the same as mine